Case Series
Role of Neuroimaging in Paediatric Seizure Disorders: A Case Series
Akhil. M. Kulkarni1,2, Vishal Uttarkar2 and Suhasini Vittal Rao1*
1Consultant fetal medicine specialist, Davangere Scan Centre, Davangere, Karnataka, India.
2Department of Radiology, SSIMS and RC, Davangere, Karnataka, India.
2Department of Radiology, SSIMS and RC, Davangere, Karnataka, India.
*Corresponding author:Suhasini Vittal Rao, Consultant fetal medicine specialist, Davangere scan centre, Davangere, Karnataka, India. E-mail Id: drsuhasini2010@gmail.com
Copyright: © 2025 Kulkarni AM, et al. This is an open access article distributed under the Creative Commons Attribution License, which permits unrestricted use, distribution, and reproduction in any medium, provided the original work is properly cited.
Article Information: Submission:08/06/2025; Accepted: 02/08/2025; Published: 06/08/2025
Abstract
Background: Seizures in paediatric patients are often due to structural brain abnormalities. Neuroimaging is critical for diagnosis and management.
Methods: We retrospectively reviewed the clinical and neuroimaging data of 昀椀ve pediatric patients with drug-resistant seizures. Imaging studies (CT or MRI) were analyzed to identify features that guided diagnosis and treatment.
Results: Each patient had characteristic neuroimaging findings.
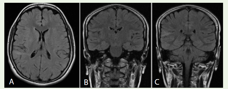
Case 1: A 17-year-old female with focal seizures showed right parietal cortical thickening and a T2-FLAIR transmantle sign on MRI [Figure 1A-C], consistent with focal cortical dysplasia.
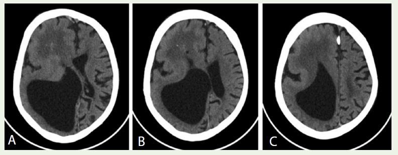
Case 2: A 15-year-old boy with infantile spasms and left hemiparesis had right hemispheric ventriculomegaly and cortical dysplasia on CT [Figure 2A-C], indicating hemimegalencephaly.
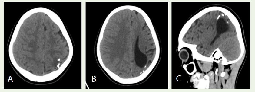
Case 3: A 13-year-old girl with a facial port-wine stain had left parietal gyriform calcifications and hemiatrophy on CT [Figure 3A-C], diagnosing Sturge-Weber syndrome.
Case 4: A 3-year-old girl with developmental delay had multiple calcified cortical tubers and subependymal nodules on CT, including a mass at the foramen of Monro (Figure 4A–C), consistent with tuberous sclerosis.
Case 5: A 1-year-old girl with new-onset seizures had isolated enlargement of the right lateral ventricle on CT (Figure 5), consistent with unilateral hydrocephalus. In each patient, imaging 昀椀ndings guided targeted management (medical therapy and, when indicated, surgical intervention).
Conclusion: Neuroimaging (MRI and CT) identified the underlying causes of these children’s refractory seizures. MRI revealed subtle cortical and white matter abnormalities, while CT clearly showed calcifications and ventricular anomalies. Recognizing these modality-specific features improves diagnostic accuracy and informs treatment planning.
Methods: We retrospectively reviewed the clinical and neuroimaging data of 昀椀ve pediatric patients with drug-resistant seizures. Imaging studies (CT or MRI) were analyzed to identify features that guided diagnosis and treatment.
Results: Each patient had characteristic neuroimaging findings.
Case 1: A 17-year-old female with focal seizures showed right parietal cortical thickening and a T2-FLAIR transmantle sign on MRI [Figure 1A-C], consistent with focal cortical dysplasia.
Case 2: A 15-year-old boy with infantile spasms and left hemiparesis had right hemispheric ventriculomegaly and cortical dysplasia on CT [Figure 2A-C], indicating hemimegalencephaly.
Case 3: A 13-year-old girl with a facial port-wine stain had left parietal gyriform calcifications and hemiatrophy on CT [Figure 3A-C], diagnosing Sturge-Weber syndrome.
Case 4: A 3-year-old girl with developmental delay had multiple calcified cortical tubers and subependymal nodules on CT, including a mass at the foramen of Monro (Figure 4A–C), consistent with tuberous sclerosis.
Case 5: A 1-year-old girl with new-onset seizures had isolated enlargement of the right lateral ventricle on CT (Figure 5), consistent with unilateral hydrocephalus. In each patient, imaging 昀椀ndings guided targeted management (medical therapy and, when indicated, surgical intervention).
Conclusion: Neuroimaging (MRI and CT) identified the underlying causes of these children’s refractory seizures. MRI revealed subtle cortical and white matter abnormalities, while CT clearly showed calcifications and ventricular anomalies. Recognizing these modality-specific features improves diagnostic accuracy and informs treatment planning.
Introduction
Seizures are a common neurological presentation in children
and can result from a variety of structural brain lesions. Advanced
neuroimaging, is vital for detecting these abnormalities in patients
with refractory seizures. In this series, we present five children each
with drug-resistant seizures due to different etiologies: focal cortical
dysplasia, hemimegalencephaly, Sturge-Weber syndrome, tuberous
sclerosis, and unilateral hydrocephalus. We highlight how CT and
MRI findings led to specific diagnoses and guided management in
each case.
Case Presentation
Case 1: Focal Cortical Dysplasia (Right Parietal Lobe):
Clinical presentation: A 17-year-old female presented with
a 6-month history of refractory focal seizures and intermittent
dizziness, plus one day of new le leg weakness. Seizures began at age
15 with le arm clonic jerking, rightward eye deviation, and postictal
confusion. Neurological exam showed mild le leg weakness; EEG
was normal. No skin findings or systemic issues.Imaging findings: A 1.5T brain MRI revealed a lesion in the right
parietal cortex. Axial T2-FLAIR images showed subcortical white
matter hyperintensity extending from the cortex toward the lateral
ventricle (the “Transmantle sign” on (Figure1A). Coronal T2-FLAIR
images demonstrated focal cortical thickening and blurring of the
gray–white junction in the right parietal region [Figure 1B], along
with patchy hyperintensity in the right parietal gyrus [Figure 1C].
these features indicate abnormal cortical development.
Diagnosis: Imaging findings are diagnostic of right parietal type
II focal cortical dysplasia.
Management: The patient was treated with antiepileptic
medications. (Cortical resection is often curative for FCD if
medication fails.)
Focal Cortical Dysplasia (FCD):
Focal cortical dysplasia (FCD) is a common cause of drug-resistant
epilepsy in children, oen associated with cortical malformations.
MRI is the imaging modality of choice for detection and classification.Imaging Features (MRI)::
• Cortical thickening.• Blurring of the gray–white matter junction with abnormal subcortical architecture.
• T2/FLAIR hyperintensity in white matter, sometimes extending as a Transmantle sign [1,5]. • T2/FLAIR signal changes in gray matter.
• Abnormal sulcal or gyral patterns, segmental/lobar hypoplasia or atrophy.
• Typically, no edema, calcification, or contrast enhancement [6].
Classification: [3,4]:
• Type I: Subtle or non-visible on MRI; may show mild blurring
in subcortical U-fibers, often temporal [5,12].
• Type IIa: Cortical thickening, blurring of junction, abnormal
gyral/sulcal pattern [5].
• Type IIb: Same as IIa plus a transmantle sign (seen in 94% of
cases) [1,5].
• Type III: Associated with adjacent lesions (e.g., hippocampal
sclerosis, tumors, vascular malformations, gliosis); imaging
dominated by associated abnormality [5].Clinical Relevance: Surgical resection of the epileptogenic cortex
typically leads to good seizure control. Presence of the transmantle
sign is associated with better postoperative outcomes [8].
Case 2: Hemimegalencephaly (Right Cerebral Hemisphere):
Clinical presentation: A 15-year-old boy had a history of
infantile spasms for 6 months of age, developmental delay, and
persistent le hemiparesis. Neurological exam confirmed le-sided
spastic weakness. There was no history of skin lesions or perinatal
complications.
Figure 1: A: Axial T2-FLAIR MRI showing subcortical white matter hyperintensity extending from the right parietal cortex to the lateral ventricle (Transmantle sign). B: Coronal T2-FLAIR MRI demonstrating cortical thickening and a blurred gray–white matter junction in the right parietal lobe. C: Coronal T2-FLAIR MRI
showing focal hyperintensity in the right parietal gyrus
Imaging findings: Non-contrast CT of the head revealed marked
asymmetry of the cerebral hemispheres. The right hemisphere
was enlarged with severe dilation of the right lateral ventricle
(monoventricle) due to blockage at the foramen of Monro and
leward midline shi [Figure 2A]. The right occipital and temporal
cortex appeared thinned and effaced. The right hemisphere showed
diuse low-density white matter and scattered areas of calcification.
The cortical sulci in the right frontal and parietal lobes were effaced
and the gyri were abnormally enlarged [Figure 2B-C], suggestive of
diffuse pachygyria.
Diagnosis: These imaging features—unilateral hemispheric
enlargement with ventriculomegaly, cortical malformation, and
contralateral shift—are diagnostic of right-sided hemimegalencephaly.
Management: The patient was treated medically with antiepileptic
drugs and underwent placement of a ventriculoperitoneal shunt to
relieve hydrocephalus.
Hemimegalencephaly:
Hemimegalencephaly is a rare malformation of cortical
development involving hamartomatous overgrowth of one cerebral
hemisphere. It accounts for ~0.2% of childhood epilepsy cases and
is oen associated with developmental delay and infantile spasms
[9,10].Imaging Features::
MRI is the most sensitive modality, but CT and ultrasound can
also detect key features [11]:• Enlargement of the affected cerebral hemisphere
• Asymmetric ventriculomegaly (increased or sometimes small lateral ventricle)
• Cortical malformations: polymicrogyria, pachygyria, lissencephaly, agyria [9]
• Enlarged gyri, shallow sulci • Calvarial thickening on the affected side
• Displacement of the posterior falx to the contralateral side
• Grey matter heterotopia
• White matter calcifications
• May be associated with developmental venous anomalies
(DVAs)
Nuclear imaging (SPECT/PET) typically shows hypometabolism
in the affected hemisphere [10].
Classification Insight::
• Isolated hemimegalencephaly.
• Syndromic forms (e.g., with epidermal nevus, NF1, tuberous
sclerosis, CLOVES) [9-11].
• Total form involves brainstem and cerebellum.Clinical Relevance: Imaging confirms diagnosis and helps assess
surgical eligibility. Hemispherectomy offers seizure control in 60%
of refractory cases, though contralateral abnormalities may worsen
prognosis [10]
Case 3: Sturge-Weber Syndrome (Left Cerebral Hemisphere):
Clinical presentation: A 13-year-old girl with a congenital portwine
stain on the le side of her face presented with multiple seizures
(first at 9 months of age). Neurological exam was otherwise normal.
The facial capillary malformation suggested a neurocutaneous
syndrome.Imaging findings: Non-contrast cranial CT showed classic signs.
Gyriform (tram-track) calcifications were present in the cortex of
the left parietal lobe [Figure 3A-C]. There was marked atrophy of
the left cerebral hemisphere, with cortical thinning and ipsilateral
displacement of the falx [Figure 3B]. These findings reflect chronic
leptomeningeal vascular malformations.
Diagnosis: The clinical and imaging findings are characteristic of
left-sided Sturge-Weber syndrome.
Figure 2: A: Axial CT image showing an enlarged right lateral ventricle (monoventricle) with midline shift to the left, indicating obstruction at the right foramen of Monro. B: Axial CT image showing di昀昀use low density of right hemispheric white matter and scattered calcifed foci in the right frontal lobe. C: Axial CT image showing effaced cortical sulci and enlarged gyri in the right frontal and parietal lobes (Pachygyria).
Figure 3: A: Axial CT image showing gyriform (Tram-track) calcifications in the left parietal cortex. B: Axial CT image showing atrophy of the left cerebral hemisphere with ipsilateral falcine displacement. C: Sagittal CT image demonstrating the left parietal cortical calcifications (Tram-track sulcal calcifications).
Management: The patient was managed with antiepileptic
medications to control seizures; neurosurgical intervention was not
performed.
Sturge Weber Syndrome:
Sturge-Weber syndrome (SWS) is a neurocutaneous disorder
characterized by facial port-wine stain and leptomeningeal
angiomatosis, most oen affecting the ophthalmic branch of the
trigeminal nerve [13,14]. Seizures, typically refractory, occur in up to
89% of cases, oen within the first few years of life [15,16].Imaging Feature:
• CT is the initial modality of choice for identifying
characteristic:o Gyriform (“tram-track”) cortical and subcortical calcifications [22,23].
o Cerebral hemiatrophy with ipsilateral calvarial thickening.
o Enlarged choroid plexus.
o Asymmetric cavernous sinus or sinus enlargement [24].
o Dyke-Davido-Masson appearance in severe cases.
• MRI better delineates:
o Leptomeningeal enhancement on post-contrast T1 due to pial angiomatosis [15]
o T2 low signal in subcortical white matter (from calcification or accelerated myelination).
o Dilated transmedullary and deep venous systems.
o SWI/GE sequences enhance calcification detection as signal dropouts.
o MR spectroscopy may show decreased NAA [25].
• DSA findings include absent superficial cortical veins and abnormal deep venous drainage [16].
Classification: [19]:
• Type I: Facial and leptomeningeal angiomas ± glaucoma
• Type II: Facial angioma only
• Type III: Isolated leptomeningeal angiomaClinical Relevance:
Neuroimaging is critical in confirming diagnosis and evaluating
seizure etiology. CT is useful for early calcification detection; MRI
provides superior detail of pial angiomas and venous abnormalities.
Surgical resection is rarely indicated; management focuses on seizure
control and ophthalmologic assessment [13].Case 4: Tuberous Sclerosis:
Clinical presentation: A 3-year-old girl with global
developmental delay began having generalized seizures at 6 months
of age. There were no focal neurological deficits or noted skin lesions
on examination.Imaging findings: Cranial CT revealed multiple typical TSC
abnormalities. A calcified mass was noted at the le foramen of Monro,
extending into the le lateral ventricle and causing mild dilation of
the le ventricle [Figure 4A]. Many calcified subependymal nodules
lined the walls of both lateral ventricles
[Figure 4B]. The cerebral
cortex contained numerous tubers seen as mixed-density lesions in
the bilateral frontal and parietal lobes, with scattered calcifications
[Figure 4C]. Adjacent white matter showed areas of low attenuation.
These findings are classic for tuberous sclerosis complex (TSC).
Diagnosis: The imaging findings of multiple cortical tubers
and calcified subependymal nodules (including a large lesion at
the foramen of Monro) confirm the diagnosis of TSC, likely with a
subependymal giant cell astrocytoma.
Management: The patient was treated with antiepileptic drugs.
Neurosurgery was consulted regarding the foramen of Monro mass;
if it enlarges, surgical resection (or medical therapy such as mTOR
inhibitors) may be required to prevent obstruction.
Tuberous Sclerosis:
Tuberous sclerosis complex (TSC) is a multisystem genetic
Figure 4: A: Axial CT image showing a calci昀椀ed mass at the left foramen of Monro extending into the left lateral ventricle causing mild ventricular dilation. B: Axial CT image showing multiple calci昀椀ed subependymal nodules along the walls of both lateral ventricles. C: Axial CT image showing multiple cortical tubers in the bilateral frontal and parietal lobes, with scattered calci昀椀cations and adjacent white matter changes
disorder characterized by hamartomatous growths affecting the
brain, skin, kidneys, lungs, and heart. About 75% of affected children
present with seizures [26].
Imaging Features::
Neurological (MRI/CT)
• Cortical/Subcortical Tubers: Seen in ~50% in the frontal
lobe; high T2, low T1 signal; may enhance in ~10% and
frequently calcify aer age 2 [26].
• Subependymal Nodules: Oen calcified (88%) [31]; iso/
high T2 and high T1 signal; may resemble SEGA but
distinguished by growth [32,33].
• Subependymal Giant Cell Astrocytomas (SEGA):
Typically appear near foramen of Monro, show growth
and strong enhancement [32,33].
• White Matter Abnormalities: Radial bands are relatively
specific to TSC [34].
• Other CNS findings: Corpus callosum dysgenesis,
cerebellar atrophy, infarcts, aneurysms, arachnoid cysts,
and rarely, chordomas.Abdominal (CT/MRI/US):
• Renal Angiomyolipomas (AMLs): Seen in 55–75% of
cases; often bilateral and large, may lack visible fat [26,29].
• Renal Cysts, oncocytomas, and renal cell carcinomas
[26,29].
• Retroperitoneal Lymphangiomyomatosis and hepatic
AMLs also occur [29].Thoracic (HRCT/CT):
• Lymphangioleiomyomatosis (LAM) in 25–40% of
females [29]; can lead to pneumothorax and chylous
effusion.• Multifocal Micronodular Pneumocyte Hyperplasia
(MMPH): Benign nodular lung lesions (rare).
• Cardiac Rhabdomyomas and myocardial fatty foci
[36,37].
Musculoskeletal & Skin (Radiographs/Clinical):
• Sclerotic bone lesions in 40–66% of patients [26].
• Classic skin lesions include hypomelanotic macules, facial
angiofibromas, shagreen patches, periungual fibromas,
and forehead plaques [26,38,39].
Clinical Relevance:
Imaging plays a pivotal role in diagnosing and monitoring CNS
and visceral manifestations of TSC. Early identification of tubers
and SEGAs can guide seizure management and surgical decisions.
Multimodal imaging (MRI, CT, US) is often required due to the
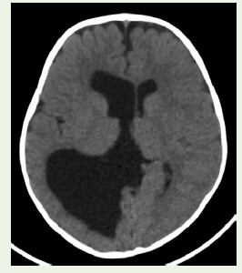
multisystem nature of the disease.Case 5: Unilateral Hydrocephalus (Right Lateral Ventricle):
Clinical presentation: A 1-year-old girl presented with three
episodes of unprovoked focal seizures. There were no focal deficits.
Birth history was notable only for twin gestation delivered by
Figure 5: Axial CT image showing marked dilation of the right lateral
ventricle with thinning of the adjacent right cerebral hemisphere and midline
shift to the left, consistent with unilateral hydrocephalus due to foramen of
Monro stenosis.
C-section; no other complications were reported. No skin lesions
were identified.
Imaging findings: Cranial CT showed marked enlargement of
the right lateral ventricle with marked thinning of the adjacent right
temporal lobe and effacement of cortical sulci (Figure5).
The enlarged ventricle caused a midline shi (~8 mm) to the le. No mass lesion or hemorrhage was seen. These findings indicate significant unilateral right-sided hydrocephalus.
The enlarged ventricle caused a midline shi (~8 mm) to the le. No mass lesion or hemorrhage was seen. These findings indicate significant unilateral right-sided hydrocephalus.
Diagnosis: Imaging confirmed an isolated dilation of the right
lateral ventricle, most likely due to congenital stenosis of the right
foramen of Monro (given the absence of a tumor or hemorrhage).
Management: The patient was treated with antiepileptic
medication and underwent right ventriculoperitoneal shunt
placement to relieve the hydrocephalus.
Unilateral Hydrocephalus Due To Stenosis of Foramen of Munro:
Unilateral hydrocephalus is a rare condition typically resulting
from agenesis or stenosis of the foramen of Monro, transient
obstruction, or associated brain malformations such as forms of
holoprosencephaly [40].Imaging Features:
• CT and MRI show:
o Marked asymmetric dilatation of a single lateral ventricle
(typically right or le).
o Thinning of adjacent brain parenchyma due to mass effect.
o Effacement of cortical sulci and midline shift.
o Absence of mass, hemorrhage, or infection in idiopathic
cases.
• MRI may better visualize:
o Membranous occlusion at the foramen of Monro.
o Associated cortical malformations or interhemispheric anomalies.
• MRI may better visualize:
o Membranous occlusion at the foramen of Monro.
o Associated cortical malformations or interhemispheric anomalies.
Clinical Relevance:
Accurate imaging diagnosis helps distinguish congenital
obstruction from secondary causes like tumors or cysts. Management
oen involves ventriculoperitoneal shunting to relieve pressure and
prevent further parenchymal damage [40].Discussion
This series highlights the complementary roles of CT and MRI
in pediatric seizure disorders. In all cases, imaging directly led to
the specific etiologic diagnosis. MRI was essential for detecting
subtle cortical malformations (e.g. FCD in (Case1), whereas CT was
particularly valuable for identifying calcified lesions (Cases3 ,4) and
gross hydrocephalus (Cases 2, 5). In general, MRI is the modality
of choice in epilepsy due to superior so-tissue contrast, but CT is
invaluable for detecting calcifications or acute changes quickly. The
characteristic patterns—cortical thickening with transmantle sign for
FCD, hemispheric enlargement for hemimegalencephaly, gyriform
calcifications with hemiatrophy for Sturge-Weber, multiple calcified
tubers for TSC, and one-sided ventricular dilation for unilateral
hydrocephalus—guided our differential diagnosis and management.
Early imaging led to timely interventions (e.g. shunting or surgical
planning) and tailored treatment for each patient.
Disclosure: The authors have no conflicts of interest to disclose.
None of the authors received outside funding for the production of
this original manuscript and no part of this article has been previously
published elsewhere.
References
Citation
Kulkarni AM, Uttarkar V, Rao SV. Role of Neuroimaging in Paediatric Seizure Disorders: A Case Series. Indian J Appl Radiol. 2025;11(1): 07 217.






